セカンドオピニオン「無料」
次のような方に
当院のインプラント治療を
お勧めしています
- 入れ歯ではしっかり噛めない……
- 他院で治療した
インプラントが失敗した……
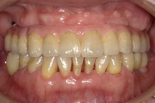
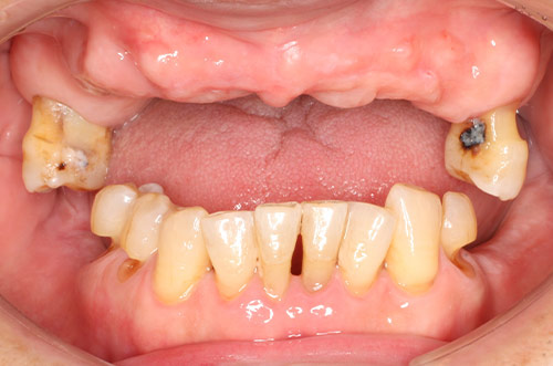
- 多くの歯がボロボロ……
- 短期集中治療をして欲しい……
- 技術力が高いドクターに
担当して欲しい……
- どの医院で治療したらいいか
わからない……
当院のインプラント治療には
次のような特徴があります。
北大臨床教授がオペを担当
/札幌屈指の治療実績
「北大臨床教授/インストラクター」レベルのドクターが担当
当院のインプラント治療は、北海道大学歯学部の臨床教授、そしてドクター向けのインプラントインストラクターを務めるドクターが皆さんのオペを担当します。
千田 典史

経歴
- 北海道大学歯学部 卒業
- 北海道大学大学院歯学研究科博士課程 修了
- ハーバード大学(アメリカ)歯学部デンタルインプラントコース 修了
- 北海道大学歯学部臨床教授
- 北海道大学病院 臨床研修指導医
- インビザラインドクター(認定医)
- ケアマネージャー
- 厚生労働省認定歯科医師臨床研修プログラム責任者
- ストローマンガイドプランニングアカデミーファカルティ
- 産業歯科医(認定医)
セカンドオピニオンを無料で行っています。
今の医院で治療を受けたほうがいいのか悩んでいる方、もしくは提案された治療内容に納得のいかない方は是非ご利用ください。
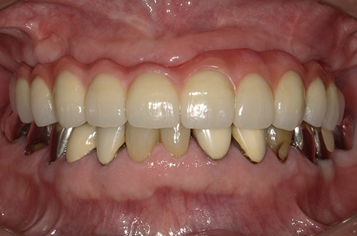
また、他院でインプラント治療をしたが、不具合が出てきた、抜けてしまったという方も当院でリカバリーも可能です。
その他のインプラント治療の「特徴」をご紹介
精密機器/オペ室完備
CT、シミュレーションソフト、ピエゾサージェリー等、治療を成功させるために欠かせない精密機器が充実しており、オペ室も完備しています。
オペ当日に歯が入る術式
「All-on-4(無歯顎の方向け)」
「抜歯即時荷重」
All-on-4(無歯顎の方向け)
従来のインプラント治療では6ヵ月~1年、骨造成などが伴う複雑な治療であれば1年以上もの治療期間が必要でした。また、総入れ歯の方のように、歯がすべて無い場合は、インプラントを10~14本も埋入しなくてはならず、術後の腫れも大きく、費用も非常に高額なものになっていました。

これを解決したのが「All-on-4(オールオンフォー)」という、片顎あたり4本のインプラントを埋入するだけで噛むことを可能とした最先端治療です。
All-on-4(オールオンフォー)を行う利点は下記の通りです。
- インプラントの本数が少ないため「費用負担が軽減」
- 治療したその日から「仮歯」により食事や会話が可能
- 手術時間が短く術後の腫れも少ない
- 骨量が少ない方も治療が可能
抜歯即時荷重(1本からでも対応)

抜歯即時加重インプラントとは、抜歯と同時にインプラントを埋入する術式のことです。
通常のインプラント治療の場合、抜歯が必要と判断された歯を抜歯した後、傷口が治り、骨が安定するのを待ってからインプラントを埋入する必要があります。
そのため、「治療期間が長くなる」、「骨がやせてしまう」というデメリットがあります。
それを改善したのが抜歯即時加重インプラントです。
適応症例は限られますが、抜歯後すぐに人工歯を装着するので、歯がない期間がゼロになります。
麻酔専門医による「睡眠無痛治療」


歯科恐怖症の方や、治療時の音・振動が苦手な方向けに「静脈内鎮静法」というものをご提案しています。
この方法は「睡眠無痛治療」とも呼ばれており、鎮静薬を点滴を通して注入すると、数分でほぼ睡眠状態になります。
治療中の記憶がほぼありませんので、痛みや、音、振動なども感じることはありません。
そして、皆さん「気づいたら治療が終わっていた」とおっしゃいます。
どうしても歯科治療が怖い……、しかし治療をしなければならない。
苦痛や不安なく治療を終えたい。
このような方にお勧めです。
また、静脈内鎮静法は全身麻酔とは異なりますので、ご安心ください。
治療後、少し休んでいただければそのままお帰りいただけますが、車やバイクの運転はお控えください。
短期集中治療

忙しい方、歯医者が苦手な方にとっては、できるだけ「来院回数」を少なくしたいと思われるのが正直なところだと思います。
来院回数を少なくするため、当院が取り組んでいることは、「1回の治療時間を長くとること」+「院内歯科技工士との密な連携」です。それぞれ簡単にご紹介します。
1回の治療時間を長くとる

治療計画を立案し、最初の段階で治療の流れが分かることで、「この工程とこの工程は1回で行える」などの計画を立てることができます。通常は数回に分けて行う工程でも、1回の治療時間を長く確保することで1回の来院で完了させることができ、最終的な来院回数を減らすことができます。
院内技工士との密な連携

歯となる部分は「歯科技工士」という専門家が作製します。
一般的に歯科技工所は歯科医院と別の場所にありますので、情報のやり取りなどでどうしても時間のロスが生じます。しかし、当院には「院内」に技工士が常駐しているため、そのようなことは起きません。
世界的ブランドメーカー品を使用しています
インプラントを製造するメーカーはたくさんあり、それぞれ特性が異なりますが、選択するうえで重要なのが、日本国内および世界におけるシェアです。

当院で使用しているインプラントは、
- ストローマン(世界シェアNo1・19%)
- ノーベルバイオケア(世界シェアNo2・18%)
の2社のものです。
これらのメーカーのインプラントは、開発時にきちんとした臨床研究が行われ、承認を受けています。世界中の多くの歯科医院で使用されており、過去の臨床実績も豊富で、安心して使用できるインプラントといえます。
他院で治療したが「不都合」が生じてしまっている方へ
通常、インプラントメーカーの互換性はないので、埋入されたメーカーの取り扱いがない医院では不都合の改善やリカバリーは難しいのですが、当院では、先ほどお伝えしたメーカー以外にも取り扱いがありますので、他院で埋入されたいプラントのサポートも可能となっています。

- もう失敗したくない……
- 末永くインプラントを使用していきたい……
このようにお考えの方、まずは相談だけでも結構ですので、お気軽にお問い合わせいただけたらと思います。
初診「個別」矯正相談へのご案内
当院では、患者さんが抱えていらっしゃるお口のお悩みや疑問・不安などにお応えする機会を設けております。どんなことでも構いませんので、私たちにお話ししていただけたらと思います。
ご興味がある方は下記からお問い合わせください。