- 「痛みが嫌」で
足が遠のいてしまった…… - 歯医者に「不信感」を
持っている…… - 「無駄な治療」を
されそうで怖い…… - 納得いくまで
「説明」して欲しいのに……
このような悩みから来院したくても
来院できない方が
多くいらっしゃいます。
当院では上記のような理由で、
患者さんを不安にさせることは
決してありません。
お話だけでも結構です。
当院を感じてください。
このような悩みから来院したくても
来院できない方が
多くいらっしゃいます。
当院では上記のような理由で、
患者さんを不安にさせることは
決してありません。
お話だけでも結構です。
当院を感じてください。




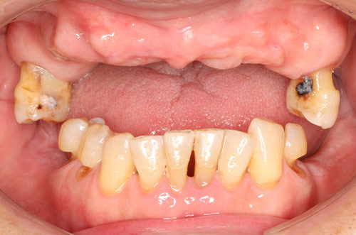
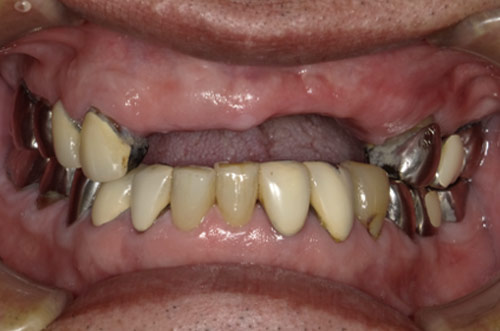
虫歯をそのまま放置してしまい、徐々に虫歯の範囲が広がり、もうどうしたらいいか分からなくなってしまっている方が多くいらっしゃいます。
もう治療を諦めてしまっている方、治療はしたいがどうしたらいいか分からない方、歯医者にトラウマを抱えており一歩が踏み出せない方、歯医者に行ったら怒られてしまうのではないかと思っている方、人により状況は様々です。

悩んでいる方にお伝えしたい。
まずは一歩踏み出してほしい。
どのような事でもいいです。お悩み、そしてどうなりたいのか、どうして欲しくないのか、すべて私たちにお話しください。
すべてはお話から始まります。
もちろん治療ですので、患者さんがして欲しくないこともあるかもしれません。
しかし、可能な限り患者さんが好まないことは最大限の配慮をもって対応いたします。
歯科治療から足が遠のいてしまった方に多い理由は「治療時の痛み」です。
これがトラウマになってしまっている方も少なくはありません。
当院では痛みを最小限にする処置に自信があります。
具体的にお伝えします。


2STEP法を行うことでほとんど痛みを感じずに麻酔注射ができます。
これまで歯医者の痛みが怖くて来院できなかった方でも、この方法であれば「全然大丈夫だった!」とおっしゃっていただけております。
上記の他にも注射時の痛みを軽減させるため次のようなことも行っています。

注射時の針が細ければ細いほど痛みは軽減されます。
当院では医療機関が購入できる針の中でも一番細い針を使用しています。

麻酔液を「体温」と同じ温度まで温めることで、痛みを軽減することができます。そこで麻酔液を注入するぎりぎりまで、保温装置に保管しています。
また、歯科恐怖症の方には「睡眠麻酔治療」を行うこともあります。
次をご覧ください。


歯科恐怖症の方や、治療時の音・振動が苦手な方向けに「静脈内鎮静法」というものをご提案しています。
この方法は「睡眠無痛治療」とも呼ばれており、鎮静薬を点滴を通して注入すると、数分でほぼ睡眠状態になります。
治療中の記憶がほぼありませんので、痛みや、音、振動なども感じることはありません。
そして、皆さん「気づいたら治療が終わっていた」とおっしゃいます。
どうしても歯科治療が怖い……、しかし治療をしなければならない。
苦痛や不安なく治療を終えたい。
このような方にお勧めです。
静脈内鎮静法は全身麻酔とは異なりますので、ご安心ください。
治療後、少し休んでいただければそのままお帰りいただけますが、車やバイクの運転はお控えください。
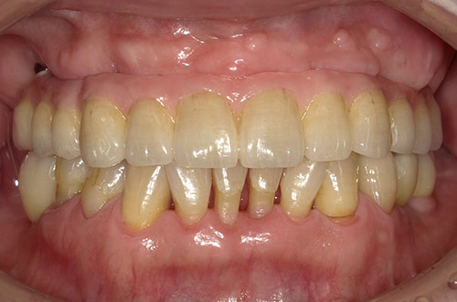
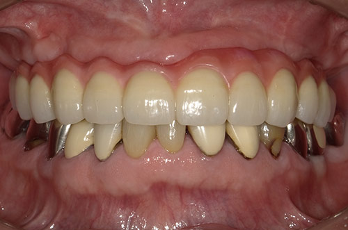
虫歯で歯がボロボロになった方は「歯医者に可能な限り通いたくない」というご要望を持っています。当院にお越しになった方は、「これまでの歯医者と違う。通い続けることができるかもしれない」とおっしゃっていただけます。
しかし、お仕事や子育てで忙しい方もいらっしゃいますので、可能な限り来院回数を少なくする取り組みを当院では行っています。それぞれご紹介します。
来院回数を少なくするため、当院が取り組んでいることは、「1回の治療時間を長くとること」+「院内歯科技工士との密な連携」です。その他、「CAD/CAM技術を利用し被せ物等を短期間で製作」することで治療期間を短縮させる取り組みも行っています。

治療計画を立案し、最初の段階で治療の流れが分かることで、「この工程とこの工程は1回で行える」などの計画を立てることができます。通常は数回に分けて行う工程でも、1回の来院で完了させることができ、最終的な来院回数を減らすことができます。

被せ物等は「歯科技工士」という専門家が作製します。
一般的に歯科技工所は歯科医院と別の場所にありますので、情報のやり取りなどでどうしても時間のロスが生じます。しかし、当院には「院内」に技工士が常駐しているため、そのようなロスがなくなります。

歯科治療では「被せ物」などを製作します。
歯科技工士による製作の他、部位によっては、CAD/CAM技術を利用したシステムの方が、治療期間を短縮できることがあります。
最短1日でセラミックの被せ物を製作することができます。
当院では、患者さんが抱えていらっしゃるお口のお悩みや疑問・不安などにお応えする機会を設けております。どんなことでも構いませんので、私たちにお話ししていただけたらと思います。
ご興味がある方は下記からお問い合わせください。
