保険治療で使用できる素材には
制限があるため、
患者さんの「審美的要求」に
応えるのは難しいものがあります。
また、次のような問題も生じます。
- 被せ物等の変色
- 金属アレルギー
- 虫歯リスクの増大
しかし、「保険外」治療であれば、
様々な素材の中から
適切なものを選択できます。
保険治療で使用できる素材には
制限があるため、
患者さんの「審美的要求」に
応えるのは難しいものがあります。
また、次のような問題も生じます。
しかし、「保険外」治療であれば、
様々な素材の中から
適切なものを選択できます。






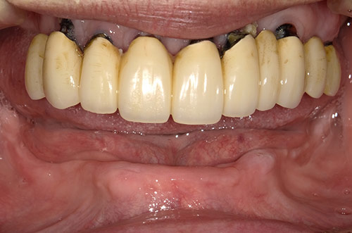
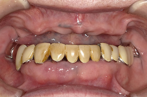
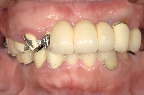
保険適用される歯科材料の代表格は「銀歯」「レジン(プラスチック)」です。
保険が適用されるので安価というメリットがありますが、それぞれ次のようなデメリットもあります。
銀歯(詰め物・被せ物)は保険が適用されるため多くの方が虫歯治療で選択されています。
しかし、見た目、金属イオンの悪害、二次う蝕(虫歯の再発)の原因となるため、最近ではセラミック素材を選択される方が増えてきています。

お口の中の金属色は非常に目立ちます。


金属イオンが身体に及ぼす影響は人によって様々ですが、場合によっては金属アレルギーによる発疹(ほっしん)が出ることがあります。また、金属イオンが歯茎に沈着することによって、歯と歯茎の境目に黒い線ができてしまうブラックラインも金属イオンの弊害の一つです。

歯と被せ物の間には目に見えない「隙間」がどうしても生じてしまいます。この隙間から虫歯菌が入り込み虫歯が再発することがよくあります。

レジンとはプラスチック素材です。
水分を吸収する性質があるため、時間の経過とともに変色し、見た目が悪くなります。
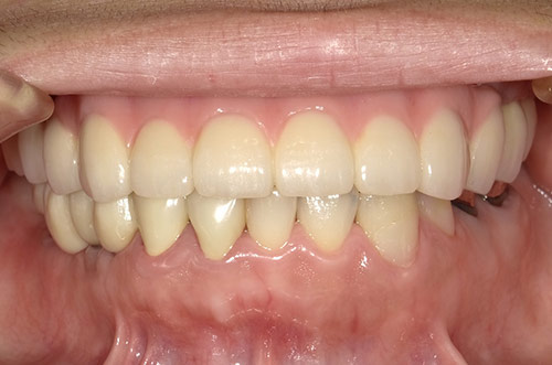
保険治療と比べ、保険外治療では様々な制約はありません。
素材も、審美性に優れ、そして体に優しい素材を使用することができます。
当院で使用している素材の一部をご紹介します。

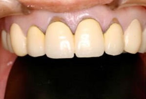
ジルコニアは、「人工ダイヤモンド」とも呼ばれ、セラミックの中でも最も優れた審美性・耐久性を誇ります。また、身体に優しい素材(陶器)ですので、保険適用の銀歯のように金属イオンが体内に流出する危険性がありません。そして高い耐久性を併せ持ちますので、食いしばりの強い方にもお勧めです。

天然歯のような色合い、そして強度を持ちます。金属を一切使用していないので、体に非常に優しい素材です。ジルコニアセラミックと比べ耐久度は若干落ちます。


これまでは、セラミックの被せ物などを作る際、2~3回程来院していただく必要がありました。しかし、CAD/CAMシステムを利用することで、その日のうちに、セラミックの被せ物などを作製することが可能になり、治療期間の短縮に貢献しています。
その他、次のような特徴もあります。

3D光学カメラを使用して治療部をスキャンします。
わずか数秒の作業で終了しますので、従来のような患者さんに負担のかかる型取りの作業は必要ありません。
嘔吐反射がある方にお勧めです。

セラミック素材の特性上、変色しません。
半永久的に白さが継続します。
製作工程が簡略化されていますので、歯にしっかりフィットする被せ物等が作製できるので、被せ物の隙間から虫歯菌が侵入するのを防ぎます。またセラミックの特性上、歯垢や歯石がつきにくいため、その意味でも虫歯予防になります。
当院では、患者さんが抱えていらっしゃるお口のお悩みや疑問・不安などにお応えする機会を設けております。どんなことでも構いませんので、私たちにお話ししていただけたらと思います。
ご興味がある方は下記からお問い合わせください。
